大阪府八尾市の歯科技工所-有限会社デンタルクリエイト TEL/FAX 072-993-6498
デンタルクリエイト
会社案内 製品案内 お問い合せ リンク集 ホーム
製品案内
メタルボンド(プレシャス、セミプレシャス、Co−Cr)
line
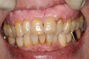
術前 術後 右上123  右上2ガムセラミック
前のページへ戻るページのトップへ
copyright
//